猜成语囊什么_看图猜成语(2)
jpg,375x500,18460b
上次给鸡做了新城疫和传染性法氏囊炎等病毒性疫苗后,大部分鸡出现抵抗力下降还继发感染了细菌性疾病,能不能在在稀释的疫苗里加抗生素防止疫苗反应
,"height":349x443,25014b
一只羊一个酒囊是什么成语
jpg,401x582,27146b
满腹经纶,火烧眉毛,捧腹大笑_ 人仰马翻,人满为患,囊萤照雪,班门弄斧_ 地广人稀,仗势欺人,血口喷人,无的放矢_ 逆流而上,鞍前马后,小鸟依人,乘人不备,引人入胜,人去楼空,_ 愚公移山,妙语连珠,画龙点睛,顶天立地,月下老人,话中有话_ 如雷
jpg,341x314,37410b
疯狂猜成语 四个物品柠檬蛋糕胶囊和辣椒的答案是什么
jpg,512x512,50100b
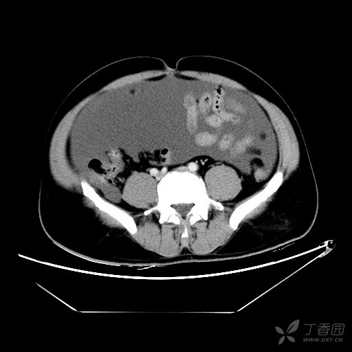
大量腹水,多发囊性占位,猜猜是什么
jpg,214x500,12801b
疯狂成语猜图 最全面答案一览
jpg,512x512,47171b
大量腹水,多发囊性占位,猜猜是什么
jpg,368x300,34442b
成语玩命猜金色的锦囊上写着计
jpg,690x1036,134583b
疯狂猜成语之锦囊妙句的成语故事
jpg,213x160,10240b
相近词】囊萤照雪_ 疯狂猜成语如果是字的话,一
jpg,512x512,45431b
大量腹水,多发囊性占位,猜猜是什么
jpg,406x486,58944b
23-2 颠三倒四_ 如果你想用白话文找到这句话,不妨这样搜:3,4颠倒_ 23-3 囊中羞涩_ 如果你想用白话文找到这句话,不妨这样搜:囊字没有中间_ 23-4 滴水石穿_ 如果你想用白话文找到这句话,不妨这样搜:水滴,石头烂了_ 文/mai
jpg,300x200,14258b
囊萤映雪
jpg,409x500,52472b
27-3 月下老人_ 如果你想用白话文找到这句话,不妨这样搜:月亮下面有个人_ 27-4 度日如年_ 如果你想用白话文找到这句话,不妨这样搜:钟上面有个年_ 第二十七关:_ 27-1 锦囊妙计_ 如果你想用白话文找到这句话,不妨这样搜:袋子上面










